home  |  about  |  treatments  |  cases  |  gallery  |  contact
   
   
     
Prosthodontics
 
Endodontics
 
  Prosthodontics
 
 

Presented herewith are two cases that serialize the treatment procedures and successful outcome with multidisciplinary treatment modalities.

  • CASE-I

         Stage 1


         Stage 2


         Stage 3

    TREATMENT PROCEDURE INVOLVED :
  • Computer-guided minimally invasive surgery.
  • Converting a patient from a complete denture wearer to an implant supported fixed prosthesis in an hour.

 

  • CASE-II

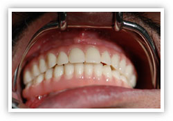
         Stage 1


         Stage 2


         Stage 3

    TREATMENT PROCEDURE INVOLVED :
  • Graftless solution for a maxillofacial patient.

 

 
   
             Dr Rajeev Narvekar © 2009    
  leftside          Dr Rajeev Narvekar © 2010 rightside  
HOME